在嘉华看专业肛肠专家

重庆嘉华肛肠汇集多名京、沪、川知名专家,多年肛肠诊疗积淀,凭借数十年的临床经验,能准确把握不同程度的各种肛肠疾病,为患者一对一定制适合的治疗方案,为治疗提供……【详细】

汇聚名医打造医师医疗航母

医生简介:副主任医师,石玉华凭借其在消化内科领域的杰出贡献,多次受邀出席全国重要学术会议、论坛。为广大患者解除肛肠困扰。对萎缩性胃炎、胃溃疡、十二指肠溃疡等常见疾病具有丰富的诊疗经验...【详细】

肛肠知名医师联合会诊-9重技术

肛肠知名医师联合会诊,通过临床交流,融合双方临床诊疗流程及标准,制定新临床诊疗服务标准。16个安全细节9重技术,让肛肠……【详细】

手术需要多久恢复 咨询具体手术费用

20年临床治疗分享

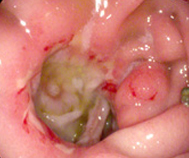
  • 无痛胃镜
  • 无痛肠镜
  • tmt成像检查
  • c14检查
  • 胶囊内镜
  • 健康热线:028-
  • 已拨人:40087 | 推荐指数:9.8
  • 健康热线: 028- (点击直接拨打)

    地址:重庆市九龙坡区渝州路37号(石桥铺地铁站7号口步行200米)

    本网站信息仅供参考,不能作为诊疗及医疗依据。

    网站备案:渝ICP备2021000763号